人文医院建设
口腔急诊医生:帮孩子度过人生中突然出现的那个“坎”
近日,患者小刘又一次来到北京口腔医院牙外伤专病门诊复诊,一米八几的个子,沉稳内敛,早已不是当年那个不知所措的孩子了。

和小刘的初识还是在8年前,那是口腔急诊医生周伟伟入职的第3个年头。
急诊的夜班总是充满未知。
那一晚,一位妈妈带着15岁的儿子急匆匆走进诊室,少年脸上还挂着泪痕,但眼神里透着倔强。
他不小心摔了一跤,两颗门牙——对少年来说,这是笑起来最显眼的“门面”——折断了。
妈妈说,他们已经在几家医院辗转了大半天。得到的建议都是:有一颗牙齿伤得太重,折断得太深,最好拔掉。
妈妈坐定后,声音有些颤抖:
“医生,他2周后有个特别重要的演出……能不能……先帮他保住牙齿?
至少让他能笑着去参加。
等他长大了,以后想怎么弄,我们再慢慢打算。”
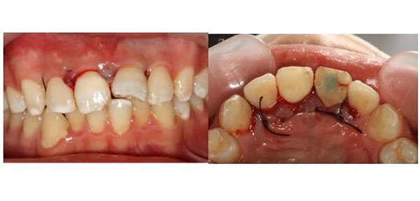
经过口腔检查,周伟伟看到,两颗门牙中那颗受伤更重的,确实是复杂冠根折:就是从牙冠到牙根都裂开了,牙神经也暴露了;而且折断的地方很深,一直延伸到牙龈下面。
这样的牙齿,既不好固定,又容易感染,预后效果往往不佳,所以通常都会建议拔除。
看着妈妈焦急的眼神,再看看旁边沉默的少年——青春期的孩子,自尊心正强的时候,如果缺着两颗门牙去演出,意味着什么,我们都懂。
周伟伟请来高年资医生一起会诊。
通常,对于这种深及牙龈以下的折断,正畸牵引——像“拔萝卜”一样把牙根慢慢拉出来——是效果最稳妥的方法。
但这需要时间,对于马上要演出的少年来说,显然来不及。
妈妈也很坦诚:
能不能不这么复杂?我们想快一点,哪怕是冒一点风险。
风险和时机之间,总要做一个选择。
最后,口腔急诊医生选择了一条更有挑战的路——在牙周翻瓣手术下,把折断的牙齿“接”回去:
先完成根管治疗,把牙齿内部清理干净。然后,在手术显微镜下,翻开牙龈,暴露出深藏在牙槽骨里的断端,用纤维桩像“钢筋”一样打进牙根里,再把断下来的牙冠原样粘回去。




这场精细的协作,持续了3个小时。
手术顺利完成,接下来的交给时间。
周伟伟详细讲解了各种注意事项,约好一周后来拆线。

术后1周拆线,伤口长得不错。

术后2周,完成冠部的充填修复。
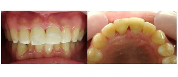
术后1年,复查,牙齿稳稳的。
术后2年,再来,还是好好的。
就这样,一年一年。
术后4年,他来复查,已经是个高高瘦瘦的大学生了。

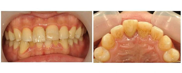
术后8年,就是最近,小刘又出现在诊室里。
他已经大学毕业,参加了工作。复查的结果依然是:牙齿稳固,牙周健康。
这8年,那颗曾经差点被拔掉的牙齿,和他一起度过了整个青春,从来没有成为他的困扰。他照常吃饭,照常笑,照常参加面试,照常走进人生的每一个新阶段。
医者说

周伟伟 主治医师
北京口腔医院 急诊综合诊疗中心
出诊时间:周四、五、日
小刘是我职业生涯早期遇到的病人之一,也是我见过的那群“牙外伤孩子”中的一个。
这些年,在急诊综合诊疗中心,我们专门开设了牙外伤专病门诊。来看病的,很多是这样的大孩子、小孩子:打球摔的,骑车撞的,跑步磕的……
每次看到他们和旁边心急如焚的家长,我都会想起八年前那个夜班。
我们做的,不只是把牙齿接回去。我们是在帮这些孩子,度过他们人生中一个突然出现的“坎”。
让他们在最在意形象的年纪,依然能自信地笑;在最重要的场合,依然能坦然开口。
牙齿是身体很小的一个器官,但它承载的东西,有时比我们想象的多得多。急诊综合诊疗中心·牙外伤专病门诊——陪你和你的牙齿,一起长大。
牙外伤专病门诊简介
首都医科大学附属北京口腔医院急诊综合诊疗中心设立牙外伤专病门诊,致力于为颌面部外伤导致牙齿损伤的患者提供系统化、连续性的专业诊疗。诊疗范围涵盖牙齿折断、脱位、全脱出等各类牙外伤,常规开展弹性固定、断冠再接、再生性牙髓治疗等特色技术。依托急诊平台优势,门诊实现从急诊接诊、即刻处理到后续牙髓活力检测、牙体修复及定期随访的全流程管理,确保患者得到及时、精准的救治。
上一篇: 接待手记:80岁老兵的感谢,意外又暖心
下一篇: 忙到飞起~~ 超长寒假只剩1天了……


















